Categoría
Antetítulo
Título
Subtítulo
Autores
Diari de Tarragona
Imagen Principal

Artículo
En los últimos años ha habido un repunte de casos de tuberculosis vinculado principalmente al fenómeno de la globalización. De hecho, en el Hospital Joan XXIII, el número de pacientes con tuberculosis ingresados en la Unidad de Enfermedades Infecciosas del Servicio de Medicina Interna ha aumentado de nueve en los años 2022 y 2023 a 14 en 2024 y 16 en 2025.
Además, según los últimos datos publicados por el Departamento de Salud correspondientes a 2024, la incidencia en el Camp de Tarragona se sitúa en 14,2 casos por 100.000 habitantes.
En territorios con una más densidad poblacional, como Barcelona, la tasa es superior y alcanza los 16,2 casos.
Por este motivo, Joan XXIII ha reforzado el dispositivo asistencial para el diagnóstico, tratamiento y seguimiento de los casos de tuberculosis. En los últimos meses, el centro ha consolidado una consulta específica monográfica dentro del Programa de enfermedades infecciosas para mejorar la estandarización de los protocolos, intensificar el control de la adherencia al tratamiento y reforzar la coordinación con Salud Pública y con el Servicio de Neumología para el estudio de contactos.
Una enfermedad transmisible por vía respiratoria
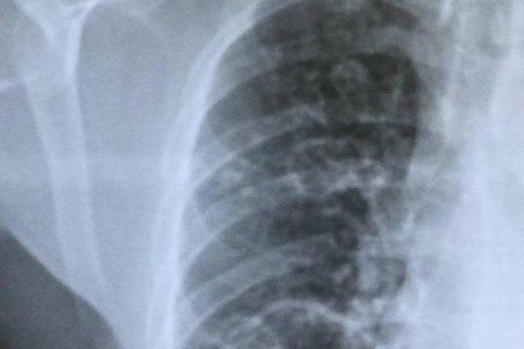
La tuberculosis es una infección causada por una bacteria que se transmite por vía aérea y afecta principalmente a los pulmones, aunque también puede tener afectación extrapulmonar.
A diferencia de otras infecciones respiratorias agudas, suele evolucionar de manera lenta y progresiva. Los síntomas más habituales son tos persistente, febrícula prolongada, pérdida de peso, sudoración nocturna y fatiga.
Como explica Joaquim Peraire, director del Programa de enfermedades infecciosas, “tiene una transmisión muy fácil y se produce por vía respiratoria a través de los aerosoles que exhalamos al hablar o, sobre todo, al toser o estornudar”.
No obstante, no todas las personas que contraen la infección llegan a desarrollar la enfermedad. “No todas las personas infectadas que han estado en contacto con una persona con tuberculosis desarrollan la enfermedad. Según la Organización Mundial de la Salud, solo entre un 5 % y un 10 % suelen desarrollarla con el tiempo, muchas veces coincidiendo con una disminución de las defensas”, detalla Peraire.